![]()
半月前,福建46岁司机林师傅(化名)养了一只鹦鹉,因开车不便照顾,便将鹦鹉揣在口袋里随身带,开车间隙逗玩。
没过几天,他突发高烧至38.7℃,伴寒战、干咳、乏力,自行吃感冒药后体温反复,还出现头晕头痛、反应迟钝,精神状态极差。
林师傅被家人送医就诊,检查显示,其肝肾功能受损,炎症指标大幅超标。医生追问病史,得知其“口袋养鹦鹉”习惯,经进一步检查确诊为鹦鹉热衣原体。
医生提醒,鹦鹉热是人畜共患病,主要源头是禽类,潜伏期最长达45天,且感染后无法获得长久免疫力,仍有再次感染可能。
新闻+
鹦鹉热,俗称“鸟疫”,是一种由鹦鹉热衣原体引起的人畜共患传染病。鹦鹉热衣原体不仅鹦鹉身上有,鸽子、鸡、鸭等190余种鸟类和禽类,以及野生动物均可携带。
鹦鹉热主要通过以下途径传播:
1. 呼吸道吸入:清理鸟笼、处理病禽排泄物时,病原体随粉尘或气溶胶扩散。
2. 接触传播:皮肤破损处接触污染源,或被禽类抓啄感染。
3. 环境暴露:居住靠近禽鸟市场、养殖场,或接触被污染的羽毛、饲料等。
“鹦鹉热”在人与人之间传播并不常见。除鹦鹉外,鸽子、鸡鸭等家禽也可能携带病原体。未养鸟者若接触污染环境,仍可能感染。
以肺炎为主要表现
易误诊!严重可危及生命
“鹦鹉热”潜伏期通常约5-21天,最短3天,最长45天,其流行没有明显季节性。
最常引起肺炎,表现为发热、咽痛、咳嗽、呼吸困难以及头痛、肌肉酸痛等流感样症状。
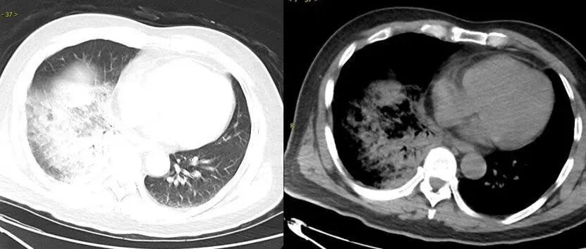
△鹦鹉热衣原体肺炎影像示例
图源:健康广东
相比于一般细菌引起的肺炎,鹦鹉热常伴有各种各样的肺外表现,如神经系统症状(头痛、精神状态改变)、消化道症状(呕吐、腹痛,肝功能异常)。
部分病例可致重症肺炎,甚至出现呼吸衰竭、心肌炎、脑炎等严重并发症,危及生命。
医生提醒:鹦鹉热一般的常规检查很难检测出来。患者常常会因为症状多变、不够独特,没有留意禽鸟接触史而被漏诊、误诊,所以患者如有接触活禽、饲养鸟类等经历,就诊时请务必及时告知医生。
如何避免鹦鹉热?
1.鸟类爱好者请尽量购买有健康证的宠物鸟,且新鸟要隔离观察2周。
2.经常消毒清理鸟笼。清洁前应先湿润鸟笼,不要让带病微生物或颗粒飘散到空气中。清洁过程中戴好口罩和手套,结束后及时洗手。
3.逗鸟别太久。鸟笼要悬挂于室外通风,每次逗鸟不超过半小时。
4.尽量避免家养鸟禽和野生鸟禽接触。如鸟禽发病,要及时与人隔离,避免传染。
5.若被抓挠伤需及时消毒清洁伤口,如出现发热应尽快就医。
6.购买活禽时要保持距离,食用时要彻底煮熟。

